ذات جنب
Pleurisy - Pleurésie

ذات الجنب

 

ذات الجنب pleurisy مشكلة سريرية شائعة وهي ليست تشخيصاً بل مصطلحاً يستخدم لوصف النتيجة التي يسببها أي مرض ينجم عنه ألم جنبي واحتكاكات جنبية ثم يتطور إلى انصباب جنبي.

يتألف الجنب من وريقتين: حشوية viseral pleura تغطي السطح الخارجي للرئتين، وجدارية parietal pleura تبطن القفص الصدري. وتتميز الوريقة الحشوية عن الجدارية بأنها تلتصق بشدة على سطح الرئة فلا يمكن تقشيرها عنها وذلك على نقيض الوريقة الجدارية التي يمكن تقشيرها عن الوجه الباطن للصدر. تتلقى الوريقة الحشوية ترويتها من الدوران الرئوي ذي الضغط المنخفض ولا تشتمل على نهايات عصبية حسية في حين تأخذ الوريقة الجدارية ترويتها من الدوران الجهازي ذي الضغط العالي وتشتمل على نهايات عصبية حسية كثيرة هي منشأ الألم عندما تصيب هذه الوريقة آفة ما. وتنفصل الوريقة الجدارية عن الحشوية بمسافة وهمية ذات ضغط سلبي في الحالات السوية وتحوي كمية قليلة من السائل المصلي تقدر بين 10 إلى 30مل تسمح لوريقتي الجنب بالانزلاق إحداهما على الأخرى في أثناء الحركات التنفسية، وهذا السائل يتبدل باستمرار بسبب اختلاف الضغط بين الوريقتين وجوف الجنب.

 يكون التهاب الجنب إما جافاً أو مترافقاً بانصباب في مرحلة تالية. وأسباب التهاب الجنب الجاف هي:

ـ التهابات الرئة الجرثومية والفيروسية والفطرية.

ـ خراجات الرئة والتوسع القصبي ولاسيما إذا كانت الآفة قريبة من سطح الرئة.

ـ احتشاء الرئة إذا كان محيطياً.

ـ التدرن ويكون في البدء ارتكاسياً ثم يتطور إلى انصباب جنب درني.

ـ الآفات الجهازية: الذأب الحمامي lupus erythematosus والداء الرثياني rheumatoid.

ـ رضوض الصدر وخاصة المترافقة بكسور في الأضلاع.

ـ ألم الجنب الوبائي (داء بورن هولم Bornholm) وهو خمج يحدثه فيروس كوكساكي B بشكل جائحات، ويكون الألم الجنبي العرض الرئيس بسبب تخرش الوريقة الجدارية، ويكون حاداً وموضعاً ومتبدلاً يشتد بالسعال والعطاس والتنفس العميق. أما إذا تخرشت الوريقة الجدارية التي تبطن الحجاب فإن الألم عندئذ ينتشر إلى الكتف والبطن مقلداً حالات البطن الحادة.

يكشف الفحص السريري تحدداً في الحركات التنفسية، ويكون القرع والجس طبيعيين إلا إذا كانت هناك كثافة جنبية، وقد تسمع بالإصغاء الاحتكاكات الجنبية الناجمة عن احتكاك وريقتي الجنب المصابتين بالالتهاب. تكون الصورة الشعاعية طبيعية إلا إذا كانت هناك كثافة جنبية أو آفة رئوية مرافقة، وقد يشاهد انغلاق في الجيب الضلعي الحاجزي.

يستمر المرض عادة عدة أسابيع ويخف تدريجياً، وتعتمد معالجته على الراحة التامة وإعطاء المسكنات، وقد يحتاج الأمر في حالات الألم الشديد إعطاء مضادات الالتهاب مثل الاندوميتاسين. ويمكن استعمال الكودئين في تركين السعال المرتبط بالألم الجنبي، كما يفيد تخضيب الأعصاب الوربية أحياناً. ولابد من معالجة الآفة المسببة.

ـ انصباب الجنب pleural effusion: وهو تجمع كمية من السائل في جوف الجنب بسبب زيادة الضغط الشعري ونقص الضغط الحلولي المصوري مما يؤدي إلى نضح الوريقة الجدارية ونقص بالامتصاص في الوريقة الحشوية إضافة لارتفاع الضغط في الشرايين الرئوية، وقد يتلو الانصباب الجنبي تراكم السائل بسبب وجود حبن ascite في البطن عبر ثقوب صغيرة في الحجاب الحاجز تسمح بمرور هذا السائل.

ويقسم انصباب الجنب إلى رشحي transudate ونضحي exudateوقد يكون نزفياًhemoragic  أو قيحياً empyema.

السائل الرشحي: ويتميز باللون الأصفر مع كثافة نوعية أقل من 1.016 وتكون كمية الألبومين فيه أقل من 30غ/ل وخميرة L.D.H أقل من 200 وحدة وعدد الكريات البيض فيه أقل من 1000 كرية، ويصادف عادة في قصور القلب الاحتقاني ويكون وحيد الجانب أو في الجانبين معاً. كما يشاهد حين وجود نقص في ألبومين الدم وفي حالات تشمع الكبد cirrhosis وفي الكلاء nephrosis والوذمة المخاطية myxedema وحالات انسداد الوريد الأجوف العلوي v.cava sup. والصمة الرئوية.

إن الانصباب الجنبي من المضاعفات الشائعة

في التهاب المفصل الرثياني

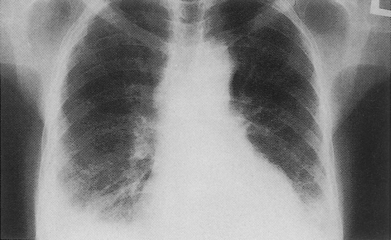
السائل النضحي: ويتصف بزيادة البروتين فوق 30غ/ل وتكون نسبة بروتين السائل إلى بروتين الدم أكثر من 50% ونسبة خميرة L.D.H في السائل إلى نسبتها في الدم أكثر من 60% أو أكثر من ثلثي الحدود العليا لمعيارها في المصل. وأكثر الأسباب إحداثاً هي: ذوات الرئة الجرثومية والفطرية والفيروسية والطفيلية والتدرن وخراجات الرئة والآفات الورمية والتنشئية البدئية في الجنب (ميزوتليوما) والانتقالية. ويكون السائل غالباً مدمى. وكذلك الآفات الدموية كابيضاضات الدم واللمفوما، والآفات الجهازية كالذأب الحمامي والداء الرثياني (صورة رقم1) والتهاب ما حول الشريان العقدي، وآفات البطن كخراجات تحت الحجاب (خراجة الكبد، التهاب المعثكلة (البنكرياس))، ومتلازمة ميغز Meig’s syndrom المترافقة بأورام المبيض وارتفاع البولة الدموية وداء الأمينت (الأسبستوز) والغرناوية (الساركوئيدوز) والارتكاسات الدوائية التحسسية واحتشاء الرئة.

ويطلق دبيلة الجنب empyema على وجود سائل قيحي نضحي ينجم عن التهاب مباشر للجوف الجنبي معطياً سائلاً قيحياً عكراً. أما السائل المدمى فهو وجود الدم في جوف الجنب نتيجة رضوض الصدر أو وجود سائل مختلط مصلي مدمى ويحوي عادة أكثر من 10.000 كرية حمراء في الميكرو ليتر، وإذا تجاوز العدد إلى 100.000 كرية حمراء فيكون السائل مدمى بشدة؛ وفي حال غياب قصة الرض فإن أهم الأسباب التي تعطي سائلاً مدمى هي السرطانات وأقل شيوعاً احتشاء الرئة الناجم عن الصمة الرئوية.

وينجم السائل الكيلوسي الحليبي المظهر عادة عن رضوض الصدر وتمزق القناة الصدرية. وقد يكون السائل الكيلوسي كاذباً في حالة تراكم مركبات الكولسترول في الجنب المتليف، وتشاهد هذه الظاهرة في الرئة المحبوسة traped lung بسبب تليف الجنب الشديد. ويكشف فحص السائل وجود الكايلو ميكرون مع ارتفاع نسبة الشحوم الثلاثية فوق 100مغ/ دل.

المظاهر السريرية والأعراض:يسبق الألم الجنبي علامات وأعراض ذات الجنب وتطور الانصباب الجنبي وقد تكون البداية مخاتلة ولكن العرض الوحيد المتعلق بالانصباب الغزير هو الزلة التنفسية ولاسيما إذا كان ناجماً عن مرض قلبي، وقد تترافق مع سعال جاف. ويكون الفحص السريري سلبياً في البداية ولاسيما إذا كانت كمية السائل أقل من 200 إلى 300مل. أما إذا كان الانصباب غزيراً فتخفت الأصوات التنفسية فوق السائل وكذلك الهمس الصوتي مع وجود أصمية بالقرع، وتنضغط الرئة فتحتد الأصوات التنفسية ويمكن سماع الصوت المهموس فوق مستوى السائل. ويشير سماع الاحتكاكات الجنبية إلى وجود ذات الجنب، كما يؤدي وجود الانصباب الغزير إلى ارتفاع الضغط ضمن الجوف الجنبي، وإلى انحراف المنصف (الرغامى والقلب) إلى عكس جهة الانصباب مع انتباج المسافات الوربية.

انصباب جنب أيسر

ظهر في سياق مرض شبه نزلي لدى امرأة شابة

يجب إجراء بزل جنب في كل مرة يشاهد فيها وجود الانصباب ولاسيما عند عدم معرفة العامل المسبب بغية استقصاء السبب، ويتم عادة بعد إجراء صورة شعاعية للصدر بوضعية الوقوف والاضطجاع الجانبي لتحديد مقدار السائل الحر بالجنب، كما يساعد إجراء مخطط الصدى (إيكو) للصدر معرفة المكان المناسب لإجراء البزل وخاصة إذا كان السائل قليل المقدار أو محجباً وموضعاً.

ويمكن معرفة لون السائل مباشرة من التوجه لبعض العوامل المسببة، فقد يكون أبيضاً رائقاً أو مصلياً ليفينياً أو مدمى أو كيلوسياً. ولابد من معايرة كمية البروتين والـــ L.D.H لتحديد فيما إذا كان السائل رشحياً أم نضحياً، وبالتالي حصر العوامل المسببة. ويجري تعداد للكريات البيض لمعرفة إذا كان السائل التهابياً، إذ يكون التعداد بالآلاف وغالبيته من الكريات العدلة neutrophil. أما في حال تدرن الجنب فيكون التعداد أقل من 1000 كرية بيضاء غالبيتها من اللمفاويات. كما يجب معايرة السكر إذ تنخفض نسبته في الالتهابات وتقيح الجنب والأورام. وقد ينعدم السائل في الداء الرثياني. وتعاير الأميلاز عادة في حال الشك بوجود التهاب معثكلة حاد أو كيسة معثكلية كاذبة أو تمزق مري. كما أن زرع السائل وتحري عصية كوخ في السائل والقشع وإجراء تفاعل السلين توجه لمعرفة العامل المسبب إضافة إلى قياس سرعة التثفل التي تشير إلى وجود إصابة فعالة.

ويفيد تحري الخلايا الورمية السرطانية في تشخيص وجود الخباثة، كما أن معايرة pHالسائل ترشد إلى وجود خباثة أو مضاعفة لذات الرئة عندما تنخفض pH لقيمة تقل عن 7.30.

ويجدر دوماً إجراء خزعة جنب مغلقة بإبرة حينما يتم الشك بوجود خباثة أو تدرن. وفي حال الفشل في معرفة السبب يمكن إجراء خزعة مفتوحة أو عن طريق تنظير الجنب وتكون النتائج فيها دقيقة.

المظاهر الشعاعية: لا يمكن كشف وجود سائل الجنب على صورة الصدر العادية الخلفية الأمامية إلا إذا تجاوزت كمية السائل 250مل، ولكن عند إجراء صورة بوضعية الاضطجاع الجانبي يمكن رؤية كمية أقل من ذلك، إلا أن التصوير الطبقي المحوري scintiscan مفيد جداً في كشف كميات قليلة من السائل.

ويتراكم السائل الحر عادة في المنطقة تحت الرئة، وتملأ الكمية الأكثر الزاوية الضلعية الحجابية مشكلة هلالاً تقعره للأنسي، أما في حال وجود سائل غزير فإن الساحة الرئوية تمتلىء ويغيب ظل الرئة وينحرف المنصف (ظل القلب والرغامى) نحو الجهة المقابلة، كما يمكن للسائل أن يتوضع ضمن الشقوق الرئوية مسبباً التصاقاً في الوريقات مظهراً تجمعاً شاذاً على جدار الصدر وبين الشقوق الرئوية وقد يقلد في مظهره أحياناً الأورام فيدعى بالورم الكاذب.

الإنذار

إن تراجع الآفة وشفاءها في حال وجود ذات جنب جافة هو القاعدة. أما في حال وجود انصباب جنبي فيختلف الإنذار حسب العامل المسبب، ففي ذات الرئة المترافقة بانصباب يتم الشفاء بالمعالجة والبزل وكذلك الأمر في تقيح الجنب. كما أن الانصباب الجنبي الدرني يتراجع كلياً بالمعالجة المناسبة للتدرن، ويزول الانصباب الدموي بالبزل والتفريغ في حال رضوض الصدر والتئام الكسور.

أما في الخباثات فالإنذار مختلف ويكون عادة سيئاً وينكس السائل ويتكرر نكسه وقد يحتاج الأمر لإيثاق الجنب أو وضع مصرف لتفريغه.

المعالجة

يجب أن تتوجه إلى العامل المسبب أولاً وعلى السائل نفسه ثانياً، وغالباً ما يعرف العامل المسبب والتشخيص النوعي في انصبابات الجنب.

ففي حال كون السائل رشحياً فإنه يستجيب غالباً لمداواة الحالة المسببة كقصور القلب، ولا ضرورة لإجراء البزل العلاجي إلا إذا كان السائل غزيراً ومؤدياً لزلة شديدة. ونادراً ما يحتاج الأمر إلى وضع مصرف أو إجراء إيثاق الجنب. أما في الانصبابات التالية للخباثات وخاصة لدى المرضى المعروفين بإصابتهم بسرطانة رئوية مع غزو للسطح الجنبي فتطبق المعالجة الكيمياوية أو الشعاعية الموجهة ضد نوع الورم المشخص.

وينصح بإجراء إيثاق الجنب بإحداث التصاقات ليفية بين الوريقتين الحشوية والجدارية عندما لا يستجيب المرضى للعلاج السابق وتكرر ظهور السائل وذلك بحقن مادة بليومايسين bleomycine أو ميتوكسانترون mitoxantron أو بخ مادة التلك talc في الجوف الجنبي، وفي حال عدم التحسن أو النكس يمكن إجراء بزل متكرر أو إحداث تحويلة shunt جنبية صفاقية (بيرتوانية) أو تقشير الجنب.

وتتراجع الانصبابات التالية لذات الرئة عادة وتستجيب للعلاج بالصادات. ويستوجب الأمر أحياناً اتخاذ قرار بتصريف سائل الجنب بوضع أنبوب عبر جدار الصدر لمنع حدوث تسمك وتليف بالجنب، وبالتالي منع تحدد حركة الرئة، فإذا لم يتراجع هذا الانصباب خلال 24 ساعة فسوف يتحوجب وعندئذ يجب حقن مادة الستربتوكيناز عبر أنبوب التصريف بمقدار 250.000 وحدة محلولة في 100سم من محلول ملحي نظامي يومياً لمدة عشرة أيام لتسريع الارتشاف والتصريف.

محمود نديم مميز

مراجع للاستزادة:

 - TIERNEY JR., Current Medical Diagnosis & Treatment (Mcphee Papadakis 2001).


- التصنيف : طب بشري - النوع : صحة - المجلد : المجلد التاسع، طبعة 2004، دمشق - رقم الصفحة ضمن المجلد : 592 مشاركة :

متنوع

بحث ضمن الموسوعة